PMTCは歯のクリーニングです。PMTCは定期的に行なうことで、歯垢や歯石の付着防止に効果があります。
特殊な器具とフッ化ペーストを用いて、歯面のお掃除・頑固なバイオフィルムとプラーク(歯垢)の除去、さらにはフッ素の浸透をはかっていく方法です。
1本づつ丁寧に作業していくため、少し時間がかかりますが、処置後は歯面がすべすべになり気持ちがよくなります。痛みは全く無いのでご安心ください。

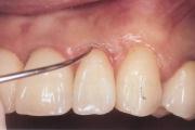
歯周病の原因である歯石を、専用の器具を使って除去する治療です。
歯の表面や歯ぐきに麻酔を行なってから、歯周ポケットの奥まで入り込んだ歯石を丁寧に削り取る治療も行います。
歯周病の状態によっては、飲み薬(抗生物質)と歯ぐきなどに薬を塗って治療することもあります。
検査によって歯周病菌の位置などを特定し、薬を継続的に塗ることで繁殖を抑えていきます。
フッ素を歯に塗りこむことで、歯の表面にフッ素イオンを活用させ歯質を強化する予防法です。
継続して実施することで、エナメル質表層のフッ素量を増加させ、歯質を強化します。
フッ素は虫歯を予防するだけでなく、虫歯になりかかった部分を自然に治癒させる働きもあります。
歯が生え始める0歳児から永久歯と乳歯が混在時期を経て、永久歯に生え替わるまでのお子さんのための治療とケアが小児歯科です。
共立歯科医院では、成長発育期にあるお子さんへ、全身的な健やかな成長変化を見据えながら適切な口腔治療やケアを提供しています。
また、お子さんの予防は『フッ素とシーラント』による処置が中心となります。